Title of the Book
▶ Click Image or Title to the Page on the Site
동영상으로 배우는 핵심 복부초음파
Product details
도서명: 동영상으로 배우는 핵심 복부초음파
정 가: 30,000원
판매가: 28,500원
저 자: 대한임상초음파학회 편집위원회
출판사: 대한의학
ISBN : 9791155902097
출판일: 2022.05
판 형: Softcover
판 수: 1/판
면 수: 168 page
Description
대한임상초음파학회가 올해로 창립 10주년을 맞이합니다.
저희 대한임상초음파학회는 초음파 교육에 목말라 있던 많은 의사 회원님들의 열화와 같은 성원에 힘입어 1회 학술대회 때부터 지금까지 질적, 양적 성장을 거듭하여 오늘날 대한민국 최고의 양질의 콘텐츠를 담보하며, 1만 명 이상의 회원을 보유한 초음파 관련 최대 학회로서 자리매김하고 있습니다. 또한 특이하게도 학회를 이끌어 나가는 임원의 반을 교수가, 반을 개원의가 맡아서 조화롭게 발전시켜 나가고 있다는 점에서 세계에서 유래를 찾아볼 수 없는 학회입니다. 아시다시피 오늘날 초음파 기기는 과거의 청진기를 완전히 대치할 뿐만 아니라 더욱 발전시켜 체외에서 수많은 인체 정보를 제공함으로써 수많은 질병의 진단과 치료에 도움을 주고 있습니다.
따라서, 전공의의 수련과정뿐 아니라 여러 과의 전문의 선생님들의 진료와 치료에 필수 진단 기기로 인정받고 널리 쓰이고 있습니다. 이러한 초음파 기기를 정확하고 정밀하게 사용하여 여러 의사 선생님들의 진료를 돕고자 저희 대한임상초음파학회는 창립 시부터 매년 춘, 추계 학술대회와 싱글 토픽 심포지움을 비롯하여 저희 학회의 자랑 중의 하나인 초음파교육센터를 통해 그동안 수많은 전공의 및 개원의 선생님들의 실질적 초음파 교육을 담당해 왔습니다. 또한 최근 보장성 강화 측면에서 진행되고 있는 초음파검사의 의료보험화에도 초음파 사용 전문가의 입장에서 의견을 제시하고 적절한 수가를 받을 수 있도록 노력하였으며 앞으로도 그 역할을 감당하고자 합니다.
오늘 발간된 『동영상으로 배우는 핵심 복부초음파』는 그동안 여러 학회나 기관에서 출간된 책자와 달리 실제로 초음파검사를 시행하는 현장에서 아주 간단하게 꼭 시행해야 하는 기술과 그에 따른 결과물을 쉽게 비교, 확인할 수 있도록 실제적이고 전형적인 증례 위주로 편집하였습니다. 따라서, 언제 어디서나 선생님의 가운 주머니에 소지하셔서 진료에 도움이 되시기를 소망합니다
끝으로 너무나 바쁘신 가운데 이 핸드북의 제작에 중추적인 역할을 해 주신 저희 학회 문영수 부회장님과 여러 집필위원님들께 진심을 담아 감사의 말씀을 드립니다. 이번에 복부초음파를 시작으로 계속해서 시리즈로 핸드북을 출간할 예정이오니 회원 여러분의 많은 관심과 성원을 바랍니다.
대한임상초음파학회는 이제 10년을 넘어 100년을 향해 앞으로도 회원 여러분의 초음파 교육을 위해 계속 정진하겠습니다.
감사합니다.
2022년 5월
대한임상초음파학회
이사장 박창영
Previews






Table of Contents
Chapter 1 담낭 14
담낭 결석 14
담낭 슬러지 16
석회화 담낭 17
담낭벽의 비후 18
급성 담낭염 20
무결석 담낭염 22
만성 담낭염 23
담낭 용종 25
1. 콜레스테롤 용종 25
2. 담낭 선종 26
3. 담낭 용종에서 악성화한 증례 27
담낭 선근종증 28
1. 국소형 29
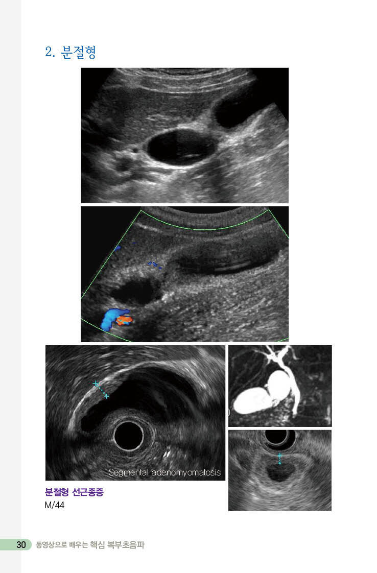
2. 분절형 30
3. 미만형 31
담낭암 32
Chapter 2 담도 36
총담관 결석 36
간내 담도결석 37
담도기종 39
담관낭종 40
간외 담도암 41
Chapter 3 간 질환 46
I. 국한성 간 질환 46
간 낭종 46
간 농양 49
간 혈관종 51
간세포암 54
간내 담도암 58
암의 간 전이 59
II. 미만성 간 질환 61
지방간 61
급성 간염 63
만성 간염 66
간경화 68
간 울혈 71
Chapter4 췌장 74
급성 췌장염 74
만성 췌장염 77
췌장의 낭종성 종양 79
1. 췌장 가성 낭종 81
2. 장액성 낭선종 83
3. 점액성 낭선종(혹은 낭선암) 85
4. IPMN (관내 유두상 점액종양), 분지췌관형 87
5. IPMN (관내 유두상 점액종양), 주췌관형 88
췌장암 90
Chapter 5 비장 98
비장 종대 98
비장 낭종 99
비장 혈관종 100
부비장 102
Chapter 6 신장 104
신장 낭종 105
다낭신 107
신장(세포)암 108
수신증 110
신장 결석 114
신장 기형 116
Chapter 7 부신 118
Chapter 8 간 초음파 스캔법 122
보험 규정에 의한 간 초음파검사 122
Couinaud 분류에 의한 간의 구역별 초음파검사 기법 130
간 초음파검사 시 관찰할 것 142
1. 간 실질의 에코 142
2. 간 표면의 요철 143
3. 간의 밝기 144
4. 간의 크기 145
5. 간 종양의 발견 및 특징적 소견 146
6. 간 문맥의 크기 및 문맥 색전 발견 148
Chapter 9 췌장 초음파 스캔법 150
췌장의 해부 150
췌장 초음파를 잘 보려면 152
췌장의 스캔법 156
보험에서 요구하는 췌장 초음파검사 159
췌장 두부를 잘 스캔하기 위한 Tip 164
췌장 미부 스캔 잘하는 Tip 166
췌장 초음파검사 시 관찰해야 하는 것 170
▶ Click Here( https://www.medcore.kr )to Homepage
동영상으로 배우는 핵심 복부초음파
배송 방법 : 택배 배송 지역 : 전국지역 배송 비용 : 2,500원 배송 기간 : 3일 ~ 5일 배송 안내 : 고객님께서 저희 성보의학서적에서 주문을 하신 주문번호가 생성이 되면 그에 따른 발송준비 및 배송
medcore.kr
'▶ 국내도서 > 임상각과' 카테고리의 다른 글
| 심장학 (0) | 2022.05.27 | 
|---|---|
| 필러 시술의 모든 것 (0) | 2022.05.27 | 
| 안신경학 2판 (0) | 2022.05.23 | 
| 문답으로 풀어가는 신경안과진료 2판 (0) | 2022.05.23 | 
| 스마트(SMART) 응급진료매뉴얼(세트) (0) | 2022.05.23 | 

 
													
												 
													
												 
													
												